Periodontics

Preserve the health of your teeth and gums

 

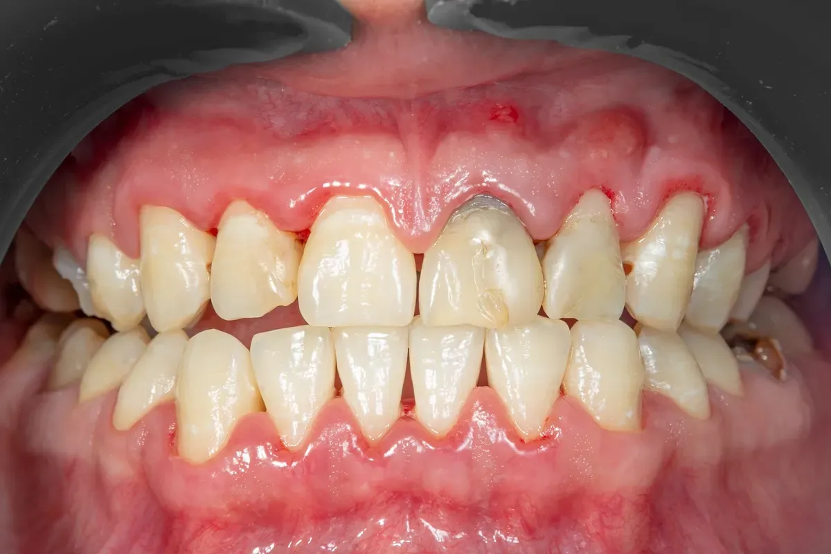
Periodontics is a branch of dental medicine focused on treating the supporting structures of the teeth—also known as the periodontium. A healthy periodontium is essential for long-term dental health and tooth longevity, which is why it's important to address potential issues as early as possible.

Imed Upala Zubnog Mesa Prikaz
  • Individual approach an treatment plan

    Professional teeth cleaning

    Curettage of periodontal pockets

    Preservation of the natural smile

  • Individual approach an treatment plan

    Professional teeth cleaning

    Curettage of periodontal pockets

    Preservation of the natural smile

  • Individual approach an treatment plan

    Professional teeth cleaning

    Curettage of periodontal pockets

    Preservation of the natural smile

  • Individual approach an treatment plan

    Professional teeth cleaning

    Curettage of periodontal pockets

    Preservation of the natural smile

  • Individual approach an treatment plan

    Professional teeth cleaning

    Curettage of periodontal pockets

    Preservation of the natural smile

  • Individual approach an treatment plan

    Professional teeth cleaning

    Curettage of periodontal pockets

    Preservation of the natural smile

  • Individual approach an treatment plan

    Professional teeth cleaning

    Curettage of periodontal pockets

    Preservation of the natural smile

  • Individual approach an treatment plan

    Professional teeth cleaning

    Curettage of periodontal pockets

    Preservation of the natural smile

  • Individual approach an treatment plan

    Professional teeth cleaning

    Curettage of periodontal pockets

    Preservation of the natural smile

  • Individual approach an treatment plan

    Professional teeth cleaning

    Curettage of periodontal pockets

    Preservation of the natural smile

  • Individual approach an treatment plan

    Professional teeth cleaning

    Curettage of periodontal pockets

    Preservation of the natural smile

  • Individual approach an treatment plan

    Professional teeth cleaning

    Curettage of periodontal pockets

    Preservation of the natural smile

  • Individual approach an treatment plan

    Professional teeth cleaning

    Curettage of periodontal pockets

    Preservation of the natural smile

  • Individual approach an treatment plan

    Professional teeth cleaning

    Curettage of periodontal pockets

    Preservation of the natural smile

  • Individual approach an treatment plan

    Professional teeth cleaning

    Curettage of periodontal pockets

    Preservation of the natural smile

Imed Anatomija Parodonta Zub

What is periodontium and what is it made of?

 

The periodontium is the supportive structure of the teeth, including the gingiva (gums), cementum of the tooth root, periodontal ligament, and alveolar bone.

 

Its primary function is to keep the teeth stable in the jawbone. When inflammation or tissue recession occurs, teeth may become loose and, in severe cases, may even fall out.

parodontoza-upaljene-desni

Periodontal diseases

Periodontal diseases affect the tissues that support the teeth and are among the most common dental conditions in adults. As many as 80% of people over the age of 35 suffer from some form of gum disease.

 

These diseases develop due to the accumulation of bacterial plaque and tartar. If left untreated, they can lead to serious consequences, including tooth loss. The most common types of periodontal diseases are gingivitis and periodontitis.

Gingivitis

Gingivitis is the early stage of gum inflammation, typically marked by redness, swelling, and bleeding during brushing. It is caused by the buildup of bacteria from dental plaque. Although untreated gingivitis can develop into periodontitis, it is reversible if treated in time.

 

The condition begins due to poor oral hygiene, leading to plaque buildup. Minerals in saliva then calcify the plaque, forming tartar, which allows further bacterial growth toward the tooth root. A gap called a periodontal pocket forms between the gum and the root—marking the start of periodontitis.

Periodontitis

Periodontitis is an inflammation of the tooth's supporting tissue and one of the most common dental diseases. It’s caused by bacteria in plaque that, along with the body’s inflammatory response, damage the periodontium. Since it causes little to no pain early on, it is often diagnosed only at advanced stages.

 

If left untreated, periodontitis can lead to tooth loss. The inflammatory process deepens, causing bone tissue loss, tooth mobility, and eventually tooth detachment.

 

The progression of the disease depends not only on the type and amount of bacteria, but also on the patient’s immune response and risk factors such as smoking, alcohol use, systemic diseases, stress, and more.

Poliklinika i dnevna bolnica IMED

Red, swollen gums

Poliklinika i dnevna bolnica IMED

Gum bleeding

Poliklinika i dnevna bolnica IMED

Ulcerations

Poliklinika i dnevna bolnica IMED

Bad breath

Poliklinika i dnevna bolnica IMED

Receding gums

Poliklinika i dnevna bolnica IMED

Loose teeth

Ciscenje Parodontalnih Dzepova

Treatment of Periodontal Diseases

Treatment plans are personalized based on the severity of the disease. Therapy may include:

 

  • Professional teeth cleaning – removal of plaque and tartar using ultrasonic tools and polishing

  • Deep cleaning (scaling and root planing) – under local anesthesia, the dentist removes bacterial deposits beneath the gums (between the root and gum) to prevent further inflammation

  • Antibiotic therapy – used in severe cases to treat bacterial infection

  • Periodontal surgery – required in advanced periodontitis to restore damaged tissue
Imed Kiretaza Parodontnih Dzepova

Scaling and Root Planing – Deep Cleaning of Periodontal Pockets

 

Scaling and root planing is a deep-cleaning procedure that removes plaque, tartar, and inflamed tissue from periodontal pockets beneath the gumline. This treatment is recommended for patients with periodontitis to reduce inflammation, stop gum recession, and allow tissue regeneration.

1
Diagnostic assessment

Panoramic X-ray, probing pocket depths, evaluation of inflammation, and oral hygiene review.

2
Mechanical removal of deposits
3
Antibiotic therapy
4
Re-evaluation
5
Surgical correction (if necessary)
6
Maintenance and check-ups
1
Zdrav Osmijeh Nakon Terapije

How to Prevent Periodontal Disease?

 

  • Maintain oral hygiene – brush thoroughly and floss at least twice daily

  • Regular dental check-ups – early detection prevents complications

  • Professional cleanings – ultrasonic removal of tartar helps prevent gum inflammation

  • Healthy diet – a balanced diet rich in vitamins and minerals supports gum health

  • Avoid smoking – tobacco use increases the risk of periodontal disease

Head of the Periodontics Department

Dr. Lana Skorić, specialist in periodontology and head of the Periodontics Clinic at IMED Polyclinic, is dedicated to preserving the health of tooth-supporting tissues and preventing tooth loss. With a professional and experienced approach, she helps patients maintain their natural teeth and a healthy smile.

Don’t wait until it’s too late!

Protect your gums and prevent the loss of your natural teeth—schedule your free preventive check-up today.

Can periodontitis be cured?
How often should I visit a periodontist?
Is periodontitis hereditary?
Is scaling and root planing painful?
Are periodontal diseases linked to overall health?

Book your free first consultation!

 

Your appointment includes a specialist examination and consultation, panoramic X-ray, personalized treatment plan, and cost estimate tailored to your needs.

Schedule your appointment