Svi slučajevi





All-on-6 Prije-Poslije
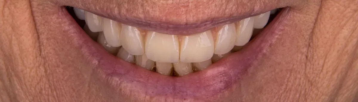
Dunja D.
O postupku
Pacijentica nam se obratila zbog ozbiljnih problema sa zubima koji su joj otežavali svakodnevni život i narušavali samopouzdanje. Naš tim preporučio je All-on-6 implantološku terapiju kao trajno i pouzdano rješenje.
Terapijom smo postigli stabilnost, funkcionalnost i osmijeh koji izgleda potpuno prirodno. Pacijentica je iz Poliklinike IMED otišla zadovoljna s osmijehom koji odražava novu sigurnost i kvalitetu života.
Iskustvo i stručnost IMED tima
Poliklinika IMED okuplja najveći broj specijalista na jednom mjestu u regiji. Naš tim svakom slučaju pristupa individualno, s vrhunskom stručnošću i preciznošću. Težimo savršenstvu u svakom zahvatu – jer znamo da detalji čine razliku.
Sve što treba za osmijeh
Pošalji upitDogovorite pregled kod naših specijalista