Revizija endodontskog liječenja

Što kada se liječenje zuba mora ponoviti?

 

Iako je endodontsko liječenje zuba u velikom broju slučajeva uspješno i dugotrajno, ponekad dolazi do komplikacija koje zahtijevaju ponavljanje postupka, tj. reviziju endodontskog liječenja

 

Ako još uvijek osjećate bol, nelagodu i osjetljivost nakon liječenja zuba, obratite se našim stručnjacima kako bismo u potpunosti sanirali problem. 

 

Imed Endodoncija Revizija Liječenja
  • Vrhunski stručnjaci endodoncije

    Najmodernije metode i digitalna tehnologija

    Očuvanje prirodnog zuba

    Dugoročna uspješnost terapije

  • Vrhunski stručnjaci endodoncije

    Najmodernije metode i digitalna tehnologija

    Očuvanje prirodnog zuba

    Dugoročna uspješnost terapije

  • Vrhunski stručnjaci endodoncije

    Najmodernije metode i digitalna tehnologija

    Očuvanje prirodnog zuba

    Dugoročna uspješnost terapije

  • Vrhunski stručnjaci endodoncije

    Najmodernije metode i digitalna tehnologija

    Očuvanje prirodnog zuba

    Dugoročna uspješnost terapije

  • Vrhunski stručnjaci endodoncije

    Najmodernije metode i digitalna tehnologija

    Očuvanje prirodnog zuba

    Dugoročna uspješnost terapije

  • Vrhunski stručnjaci endodoncije

    Najmodernije metode i digitalna tehnologija

    Očuvanje prirodnog zuba

    Dugoročna uspješnost terapije

  • Vrhunski stručnjaci endodoncije

    Najmodernije metode i digitalna tehnologija

    Očuvanje prirodnog zuba

    Dugoročna uspješnost terapije

  • Vrhunski stručnjaci endodoncije

    Najmodernije metode i digitalna tehnologija

    Očuvanje prirodnog zuba

    Dugoročna uspješnost terapije

  • Vrhunski stručnjaci endodoncije

    Najmodernije metode i digitalna tehnologija

    Očuvanje prirodnog zuba

    Dugoročna uspješnost terapije

  • Vrhunski stručnjaci endodoncije

    Najmodernije metode i digitalna tehnologija

    Očuvanje prirodnog zuba

    Dugoročna uspješnost terapije

  • Vrhunski stručnjaci endodoncije

    Najmodernije metode i digitalna tehnologija

    Očuvanje prirodnog zuba

    Dugoročna uspješnost terapije

  • Vrhunski stručnjaci endodoncije

    Najmodernije metode i digitalna tehnologija

    Očuvanje prirodnog zuba

    Dugoročna uspješnost terapije

  • Vrhunski stručnjaci endodoncije

    Najmodernije metode i digitalna tehnologija

    Očuvanje prirodnog zuba

    Dugoročna uspješnost terapije

  • Vrhunski stručnjaci endodoncije

    Najmodernije metode i digitalna tehnologija

    Očuvanje prirodnog zuba

    Dugoročna uspješnost terapije

  • Vrhunski stručnjaci endodoncije

    Najmodernije metode i digitalna tehnologija

    Očuvanje prirodnog zuba

    Dugoročna uspješnost terapije

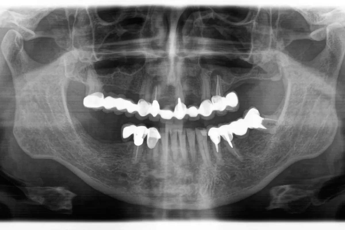
Endodoncija Rtg Snimka Nakon Liječenja

Kada je potrebna revizija liječenja?

 


Pristupamo reviziji kada infekcija perzistira ili se ponovno aktivira nakon prvotnog liječenja. U takvim situacijama zub može ponovno postati bolan, osjetljiv na zagriz ili pritisak, a ponekad dolazi i do oticanja okolnih tkiva. RTG snimkom vidljiva je upala oko korijena, što upućuje na neuspjeh primarne terapije.

Endodoncija Bol U Zubu

Zašto primarna terapija može biti neuspješna?

 

Razlozi neuspjeha mogu biti različiti. Ponekad su u pitanju neotkriveni dodatni kanali ili složena unutarnja anatomija zuba koju je teško u potpunosti obraditi. 

 

U drugim slučajevima, punjenje kanala možda nije bilo odgovarajuće, pa je ostalo prostora za ulazak novih bakterija. Do problema može doći i ako je ispun s vremenom propustio ili se razvio mikroprolaz za bakterije. 

 

Bez obzira na uzrok, bakterije mogu ponovno kolonizirati prostor unutar zuba i uzrokovati upalu u području oko vrška korijena.

 

Kako izgleda zahvat revizije?

01
Uklanjanje postojećeg materijala

Revizija je nešto složeniji postupak od prvog liječenja. Osim samog čišćenja i dezinfekcije, ovaj postupak zahtijeva i uklanjanje postojećeg materijala iz zubnih kanala.

02
Mehaničko čišćenje kanala
03
Dezinfekcija kanala
04
Ponovno punjenje zuba
01
Endodoncija Pranje Zuba

Što očekivati nakon zahvata?

 

Nakon revizije, normalno je da zub bude osjetljiv nekoliko dana. Osjetljivost se može javiti pri zagrizu ili spontano, ali se postupno povlači. Pacijentima se preporučuje uzimanje analgetika, a prvu dozu savjetuje se uzeti još prije nego što djelovanje anestezije popusti. 

 

Preporučuje se izbjegavati žvakanje s liječenom stranom dok se zub ne restaurira trajnim ispunom ili krunicom, osobito ako je zub već oslabljen. U slučaju blage otekline preporučuje se primjena hladnog obloga izvana, dok se u slučaju jače boli, povišene tjelesne temperature ili pojačanog oticanja pacijent treba odmah javiti stomatologu. 

 

Također je iznimno važno održavanje svakodnevne oralne higijene – nježno pranje zuba, korištenje konca i antiseptičkih otopina pomoći će u sprečavanju dodatne iritacije ili infekcije. 

 

Imed Endodoncija Liječenje Zuba U Ordinaciji

Kako procijeniti uspješnost revizije?

 

Prvi kontrolni pregled najčešće se planira nakon šest mjeseci, kako bi se putem rendgenske slike procijenilo povlači li se upala. Potpuni oporavak i regeneracija koštanog tkiva proces su koji traje, ali ako je zahvat kvalitetno izveden i pacijent se pridržava uputa, prognoza je izuzetno povoljna. 

 

Iako revizija endodontskog liječenja može zvučati kao izazovan postupak, ona vrlo često predstavlja posljednju i najbolju priliku za očuvanje prirodnog zuba.

 

Upoznajte naše stručnjake

Stručnjaci za endodonciju u Poliklinici i dnevnoj bolnici IMED specijalizirani su za liječenje zubne pulpe i spašavanje prirodnih zubi. Uz preciznu dijagnostiku i suvremene metode liječenja, pomažu pacijentima riješiti se boli, sačuvati zube i vratiti osmijeh bez nelagode.

Svaki zub vrijedi pokušati spasiti – jer prirodan zub nema pravu zamjenu.

 

Uz stručan pristup, preciznu dijagnostiku i suvremene metode, uspješnost revizije je visoka. Spasite svoj zub i dogovorite pregled na vrijeme!